Автор
LinkedIn
Коротко (TL;DR)
- Ужгород у 2026 році став одним із центрів стоматологічного туризму завдяки прикордонному розташуванню, відсутності комендантської години та конкурентним цінам.
- Найкраща стоматологія визначається критеріями: кваліфікація лікарів, сучасні технології (мікроскоп, 3D КТ, інтраоральний сканер, ModJaw 4D), стерильність та прозорий план лікування.
- Якісна клініка надає письмовий кошторис, гарантії на роботи та працює за сучасними протоколами знеболення.
- Перед вибором варто перевірити ліцензію МОЗ, освіту лікаря, технологічне оснащення та реальні відгуки пацієнтів.
Ще кілька років тому поїхати «до стоматолога» означало записатися до найближчої клініки в рідному місті. Сьогодні все інакше. Ужгород тихо, але впевнено перетворився на повноцінний хаб стоматологічного туризму в Україні — і на те є вагомі причини.

Чому Ужгород? Місто, де стоматологія стала туристичним магнітом
Закарпатська область — єдиний регіон України, де під час воєнного стану не діє комендантська година. Це принципово важливо для людей, які приїжджають на лікування з інших міст: можна спланувати декілька прийомів поспіль, не переживаючи про логістику та обмеження пересування.
Поруч — чотири кордони (Угорщина, Словаччина, Румунія, Польща). У клініках Ужгорода лікуються не лише українці з інших регіонів, а й діаспора, переселенці та іноземці, які приїжджають спеціально через значно нижчі ціни порівняно з Угорщиною чи Словаччиною — при порівнянній або вищій якості лікування.
Місто має власний стоматологічний факультет у складі УжНУ — одного з провідних університетів України. Це забезпечує постійне оновлення кадрів і здорову конкуренцію між клініками за кращих фахівців. Результат: ринок стоматологічних послуг в Ужгороді — один із найбільш насичених і технологічно розвинутих в країні.
Але кількість клінік ставить перед пацієнтом нове запитання: як серед десятків варіантів обрати справді найкращу стоматологію? Нижче — розповідаємо докладніше.
Що насправді означає «найкраща стоматологія»?
«Найкраща» — не маркетингова фраза, а набір конкретних критеріїв. Кожен з них можна перевірити під час першого візиту або ще до нього — через сайт, соцмережі і власні питання при записі. Розберемо кожен детально.
1. Кваліфікація лікарів і безперервна освіта
Диплом — це початок, а не підтвердження якості. Лікар, якому можна довіряти, регулярно проходить навчання: міжнародні сертифікаційні програми, курси від виробників матеріалів та обладнання, участь у профільних конгресах (наприклад, ITI для імплантологів, ESAA для ендодонтистів). Запитайте клініку напряму: де і коли лікарі проходили останнє навчання? Гарна клініка відповість без вагань.
Окремий показник — вузька спеціалізація. Клініка, де є окремі фахівці з ендодонтії, ортодонтії, імплантології та естетичної стоматології, принципово відрізняється від практики «один лікар — усі послуги».
2. Технологічне оснащення: мікроскопи, сканери та 4D-аналіз
Сучасна стоматологія — це точна наука. Обладнання визначає якість результату не менше, ніж руки лікаря.
• Стоматологічний мікроскоп — стандарт для ендодонтичного лікування (лікування кореневих каналів). Без нього лікар працює «наосліп». З мікроскопом лікар бачить канали з 25-кратним збільшенням.
• Цифровий ортопантомограф і 3D КЛКТ-сканер (конусно-променева комп’ютерна томографія) — дозволяють отримати тривимірну модель щелепи до планування імплантації або складного видалення.
• Інтраоральний сканер — замінює звичайні зліпки. Цифровий відбиток точніший, комфортніший і миттєво передається в CAD/CAM-систему для виготовлення реставрацій.
• ModJaw 4D Motion — технологія динамічного аналізу руху щелепи. Дозволяє зареєструвати рухи нижньої щелепи в чотирьох площинах і виготовити ортопедичні конструкції (коронки, вініри, мости) ідеально точно під прикус пацієнта. Це виключає необхідність численних підгонок і значно підвищує довговічність реставрацій.
• CAD/CAM-фрезерування — виготовлення керамічних коронок і вінірів за день у власній або партнерській лабораторії, без довгого очікування.
3. Стандарти знеболення: стоматологія без болю — реальність
Страх болю — найпоширеніша причина, чому люди відкладають лікування на роки. Сучасна анестезіологія вирішила цю проблему, але не всі клініки застосовують актуальні протоколи.
Ознаки клініки, яка серйозно ставиться до знеболення: використання артикаїнових анестетиків нового покоління (наприклад, Ультракаїн DS Forte, Ubistesin forte), комп’ютерна анестезія (The Wand / STA system) — подає розчин зі сталою мінімальною швидкістю, що унеможливлює дискомфорт від розширення тканин. Також важлива попередня аплікаційна анестезія (гель або спрей перед ін’єкцією), а для особливо тривожних пацієнтів — можливість лікування під седацією.
4. Стерилізація та інфекційна безпека
Цей критерій пацієнти рідко перевіряють, але він критично важливий. Запитайте або перевірте:
Чи є в клініці власний автоклав класу B (це стандарт ЄС — забезпечує стерилізацію порожніх інструментів і голок)?
Чи використовуються індивідуальні стерильні набори для кожного пацієнта?
Чи є окрема зона “брудного” і “чистого” інструменту?
Клініка, яка відповідає сучасним стандартам, не соромиться показати стерилізаційну кімнату і пояснити свій протокол. Відмова або ухилення від відповіді — тривожний сигнал.
5. Ставлення до пацієнта та психологічна підтримка
Лікування зубів — стресова процедура навіть для спокійних людей. Найкращі клініки давно перейшли від моделі “пацієнт виконує команди” до моделі “партнерство і повага“. На що звернути увагу:
Чи проводить лікар детальну консультацію перед лікуванням (а не одразу сідає з дрилем)?
Чи пояснює план лікування зрозумілою мовою, показує 3D-моделі чи фото?
Чи є у клініці персонал, навчений роботі з тривожними пацієнтами?
Чи запитують про ваш стан після процедури?
Психологічний комфорт — не розкіш, а частина якісного лікування, яка прямо впливає на результат.
Цифрова діагностика — лікар аналізує рентгенівський знімок у реальному часі та пояснює пацієнту план лікування на основі 3D-даних.
6. Прозорість плану лікування і ціноутворення
Якісна стоматологія завжди починається з детального плану лікування — письмового документа, де зазначено перелік необхідних процедур, їхню послідовність, вартість кожного етапу і прогнозований результат. Пацієнт має право знати заздалегідь, скільки він заплатить, і ніяких “несподіваних” рахунків в кінці.
Відкритий прайс на сайті, детальний кошторис до початку лікування і можливість розбити великі суми на кілька платежів — ознаки клініки, яка поважає своїх пацієнтів.
7. Естетичне портфоліо та гарантії на роботи
Для естетичних процедур — вінірів, художньої реставрації, відбілювання, керамічних коронок — портфоліо реальних пацієнтів (фото до/після) є обов’язковим критерієм. Воно демонструє не рекламні обіцянки, а реальний рівень роботи конкретного лікаря.
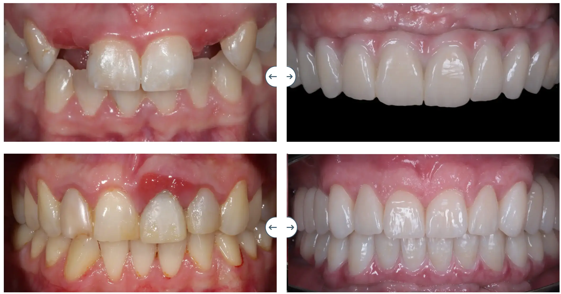
Гарантія на роботи — ще один маркер якості. Клініка, яка дає письмову гарантію на вінір або коронку (зазвичай від 2 до 5 років), бере на себе відповідальність за результат. Це можливо лише при бездоганній роботі: якісні матеріали, точна техніка, дотримання протоколів.
До та після лікування — приклад естетичної реставрації зубів із відновленням природної форми, кольору та гармонії.
8. Локація та практична доступність
Лікування зубів — це, як правило, декілька візитів. Зручна локація клініки має реальне значення, особливо для пацієнтів з інших міст або закордону. Важливо:
Чи є поруч паркінг?
Чи зручна транспортна розв’язка?
Чи є можливість записатися онлайн?
Чи відповідає клініка на питання у месенджерах?
Для туристів додатковий плюс — англомовний або угорськомовний персонал.
Також важлива стабільність роботи в умовах можливих відключень електроенергії: наявність резервного генератора і безперебійника (UPS) для обладнання — це вже стандарт для серйозних клінік у 2026 році.
Цирконієві коронки: відгуки пацієнтів, реальні плюси і мінуси — що варто знати перед протезуванням
Контактна інформація
Назва закладу: Стоматологія PICASSO
Адреса: Україна, 88015, Закарпатська область, м. Ужгород, вул. Бабʼяка, 1Б, ЖК «Crystal», 2 поверх
Телефон для запису:
+38 097 247 57 47
Графік роботи: ПН–СБ 10:00–20:00; НД — вихідний
Офіційний сайт:
picasso-dental-clinic.com.ua
Медична практика здійснюється на підставі ліцензії МОЗ України (рішення №235 від 12.02.2024).
Розташування на карті
9. Репутація і зворотний зв’язок: що кажуть пацієнти
Відгуки на Google Maps, RateList.ua та у соцмережах — цінне джерело інформації, але їх потрібно читати критично. Зверніть увагу не лише на оцінку, а на зміст:
Як клініка реагує на негативні відгуки?
Чи відповідає публічно і конструктивно?
Чи є розгорнуті позитивні відгуки з конкретними деталями, а не просто “все добре”?
Відповіді клініки на критику — часто красномовніший показник культури обслуговування, ніж самі відгуки.
Підсумок: чекліст «найкращої стоматології»
Узагальнимо все вищесказане. Клініка, яку можна назвати «найкращою», відповідає таким критеріям:
- Лікарі з підтвердженою міжнародною освітою і вузькою спеціалізацією
- Мікроскоп для ендодонтії, інтраоральний сканер, 3D КТ
- Технологія аналізу руху щелепи (ModJaw 4D або аналог)
- Сучасні протоколи анестезії, можливість седації
- Автоклав класу B, індивідуальні стерильні набори
- Письмовий план лікування з прозорою вартістю
- Реальне портфоліо естетичних робіт і письмові гарантії
- Зручна локація, онлайн-запис, резервне живлення
- Психологічно безпечне середовище і повага до пацієнта
- Позитивна й прозора комунікація з пацієнтами у відгуках
Часті запитання (FAQ)
❓ Чи варто їхати до Ужгорода на стоматологічне лікування з іншого міста України?
Так, і це вже поширена практика. Ужгород — єдиний регіон без комендантської години, що робить планування декількох прийомів зручним. Ціни часто нижчі, ніж у Києві чи Львові при порівнянній якості. Особливо вигідно приїжджати на складні або багатоетапні процедури: імплантацію, вінірування, ортодонтію. Заздалегідь уточніть у клініці: чи є онлайн-консультація для планування лікування до приїзду?
❓ Що таке ModJaw 4D Motion і навіщо ця технологія потрібна?
ModJaw 4D Motion — це система реєстрації рухів щелепи в чотирьох площинах (три просторові координати + часова вісь). Пристрій фіксує траєкторію руху нижньої щелепи при жуванні та розмові, що дозволяє виготовити ортопедичні конструкції (коронки, мости, вініри) максимально точно під індивідуальний прикус. Результат: реставрації довше служать, не потребують підгонки і не викликають дискомфорту. Наявність цієї технології в клініці — свідчення серйозного підходу до ортопедичної стоматології.
❓ Скільки коштує лікування зубів в Ужгороді порівняно з Угорщиною або Словаччиною?
Орієнтовно, ціни в Ужгороді на 40–70% нижчі, ніж у сусідніх країнах ЄС при порівнянному рівні обладнання та матеріалів. Наприклад, керамічний вінір у Словаччині коштує від €400–600, тоді як в Ужгороді — від €150–250 залежно від матеріалу та клініки. Саме ця різниця пояснює зростаючий потік стоматологічних туристів з-за кордону. Конкретні ціни завжди уточнюйте в обраній клініці, оскільки вони залежать від обсягу лікування та застосованих матеріалів.
❓ Як перевірити кваліфікацію стоматолога перед першим прийомом?
Декілька практичних способів: попросіть клініку надіслати профіль лікаря зі списком курсів та сертифікатів (серйозні клініки публікують це на сайті); шукайте ім’я лікаря в реєстрі МОЗ України; перевірте соцмережі — активний лікар часто ділиться клінічними кейсами і освітнім контентом; під час консультації оцініть, чи пояснює фахівець свої рішення зрозуміло, чи використовує діагностичні знімки та моделі. Лікар, який уникає запитань про свою кваліфікацію, — привід шукати іншого.
Ця стаття носить виключно інформаційний характер і не є медичною консультацією. Інформація про критерії вибору стоматологічної клініки підготовлена на основі загальновідомих клінічних стандартів і відкритих джерел. Клінічні рекомендації, діагноз та план лікування може надавати виключно ліцензований лікар-стоматолог після очного огляду.
Автор і редакція не несуть відповідальності за медичні рішення, прийняті на основі цього матеріалу. Згадка PICASSO Dental Clinic (Ужгород) є редакційною рекомендацією на основі публічно доступної інформації про клініку і не є рекламою, оплаченою клінікою.
Актуально на лютий 2026 року
Джерела
- The Page — ТОП-10 туристичних місць України 2025
thepage.ua - Радіо Свобода — Як війна змінила демографію і економіку Закарпаття
radiosvoboda.org - European Society of Endodontology (ESE) — клінічні рекомендації та протоколи
e-s-e.eu - ITI — International Team for Implantology, стандарти імплантації
iti.org - ModJaw 4D Motion — офіційна документація технології аналізу руху щелепи
modjaw.com - Picasso Dental Clinic — стоматологічна клініка, Ужгород
picasso-dental-clinic.com.ua - МОЗ України — реєстр медичних закладів та ліцензій
moz.gov.ua
Усі посилання перевірено у лютому 2026. Редакція не несе відповідальності за зміни у вмісті зовнішніх ресурсів після дати публікації.







